Zygoma – zigomatični implantati
Zigomatični implantati predstavljaju revolucionarno rješenje u slučaju nedostatka kosti u gornjoj čeljusti. Ime im potječe od latinske riječi zygoma, što znači jagodična kost. To je parna, tanka i zakrivljena kost lubanje koja se nalazi iznad gornje čeljusti, a ispod oka.
Zigomatična kost je izuzetno kvalitetna kost kod svih pacijenata i koristi se za ugradnju dužih implantata kada nema dovoljno volumena kosti za ugradnju standardnih implantata.
Stoga, u nju se ugrađuju zygoma implantati. Prof. Brånemark, otac
implantologije, smatrao je da je bolje koristiti zdravu i dostupnu kost koju odmah možemo opteretiti i napraviti fiksne zube, umjesto skupih metoda koje zahtijevaju više kirurških zahvata radi nadomještanja kosti umjetnom kosti i kod kojih treba čekati na nove zube od 9 do 12 mjeseci.


Dr. Carlos Aparicio, tvorac je ZAGA tehnike.

Što su zygoma ili zigomatični implantati?
Zygoma ili zigomatični implantati specijalno su dizajnirani duži implantati koji se ugrađuju u jagodičnu kost kada nema dovoljno čeljusnog grebena za ugradnju običnih implantata. Prvi zigomatični implantat “Branemark System Zygoma” ugrađen je 1989. godine kao sidro za fiksni most kako bi se izbjeglo kompleksno nadomještanje kosti i podizanje spuštenog sinusa u gornjoj čeljusti.
Prije devet godina postojala su samo dva proizvođača zigomatičnih implantata na svijetu, međutim, danas ih ima dvadesetak. Ugrađujemo isključivo Straumann implantate zbog dokazane kvalitete i najviše stope uspješnosti zahvata. Dizajn implantata ZAGA Flat i ZAGA Round prilagođeni su anatomskim strukturama pacijenta.
Zigomatični implantati mogu biti različite dužine – od 30 mm do 60 mm. Često se ugrađuju kod koncepata All on 4 i Pro Arch samo na mjestu gdje nedostaje kost. Mogu se ugraditi u sljedećim kombinacijama:
- 3 standardna implantata i 1 zigomatični
- 2 standardna i 2 zigomatična implantata – hybrid zygoma
- 4 zygomatična implantata – quad zygoma
Kako se ugrađuju Zygoma implantati?
Terapija se izvodi u 2 faze:
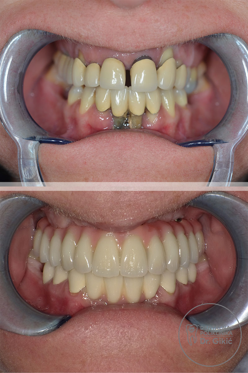
- faza – operacija koja podrazumijeva ugradnju implantata i privremeni fiksni most od 10 zuba (koji se ne vadi iz usta)
- faza – definitivni rad koji podrazumijeva titansku frezanu konstrukciju i 12 zuba u mostu za jednu čeljust
Između prve i druge faze mora proći 6 mjeseci.





Prednosti – Zygoma implantati
- nema potrebe za podizanjem sinusa i nadoknadom kosti
- fiksni zubi u roku od 24 sata
- primjenjiva metoda kod svih pacijenata
- trajno rješenje
- jednostavno održavanje oralne higijene
Tko je kandidat za zigomatične implantate??
- pacijenti koji su najteži slučajevi u stomatologiji
- pacijenti koji jako dugo nose proteze
- pacijenti koji nemaju dovoljno kosti za ugradnju klasičnih implantata
- pacijenti koji nose dugo fiksne mostove i kod kojih se kost povukla
- pacijenti koji ne žele proteze, već fiksni most
- pacijenti kojima je rečeno da ne mogu dobiti fiksni most na implantatima

Danas ne postoji pacijent koji ne može dobiti fiksne zube, barem je tako kod nas u Ozaljskoj 128.

Dr. Chantal Malevez pionirka je u zigomatskoj kirurgiji. Prva je učiteljica u ovom području i međunarodno priznata stručnjakinja. Operira s dr. Matijom.
Što nas izdvaja od drugih?
Dr. Matija Gikić, univ. mag. med. dent., specijalist oralne kirurgije među prvima je u Hrvatskoj i regiji, 2014. godine počeo s ugradnjom ovih zahtjevnih implantata. Do sada ima uspješno izvedenih preko 300 slučajeva.
Poliklinika dr. Gikić uvrštena je među 39 Zygoma poliklinika na svijetu koje su dio eminentne globalne mreže ZAGA Centers – Global Exclusive Network odajući priznanje dr. Gikiću kao svjetski priznatom ekspertu za zigomatične implantate.
ZAGA centri su renomirane stručne stomatološke poliklinike u svijetu. Zahvate izvode stručnjaci uliječenju teške atrofije gornje čeljusti pomoću zigomatičnih implantata. Svaki ZAGA centar prolazi kroz rigorozan proces za dobivanje certifikata ZAGA centra. Ponosni smo da smo jedina poliklinika članica ZAGA mreže u ovom dijelu Europe.
U Poliklinici Gikić predoperativna priprema je temeljita i detaljna, a podrazumijeva: digitalnu CT dijagnostiku, planiranje operacije u posebnom 3D softveru coDiagnostiX, analizu kvalitete kosti, 3D print lubanje pacijenta te izvođenje kirurškog zahvata na isprintanom predlošku prije same operacije,
kako bi se izbjegle iznenadne neželjene situacije tj. komplikacije.
Svaki zahvat pomno planiramo jer su plan i kvalitetna priprema najbitniji za uspjeh zahvata. Poliklinika Gikić izvodi konzervativnu implantologiju, što znači poštednu.
Rekli su vam da nemate dovoljno kosti za ugradnju implantata? Mi imamo rješenje i za vaš slučaj.
Prepustite se u ruke renomiranom stručnjaku koji se u potpunosti posvećuje pacijentima, svjestan da je riječ o najzahtjevnijim slučajevima u oralnoj kirurgiji.
Kako do nas
Ozaljska 128, Zagreb, Hrvatska
DOLAZAK TRAMVAJEM
Pedesetak metara hoda dijeli nas od tramvajske stranice ‘Selska’ na koju možete stići linijama 3,9,12. Do okretišta Remiza dijeli nas tek stotinjak metara.
DOLAZAK AUTOBUSOM
Stotinjak metara hoda dijeli nas od autobusne stanice ‘Selska-Ozaljska’ prema Ljubljanici/Remiza, linija 109 Črnomerec/Dugave.
DOLAZAK AUTOMOBILOM – PARKING
Ograničeno besplatno parkiranje na objema stranama Ozaljske ulice, 2 parkirna mjesta za osobe s invaliditetom ispred ulaza u polikliniku.
PARKING U BLIZINI
Učkina ulica – uz prometnicu Ozaljska
Puljska ulica – uz prometnicu Ozaljska
KONTAKTIRAJTE S NAMA