Što je
All on 4 i/ili Pro Arch?
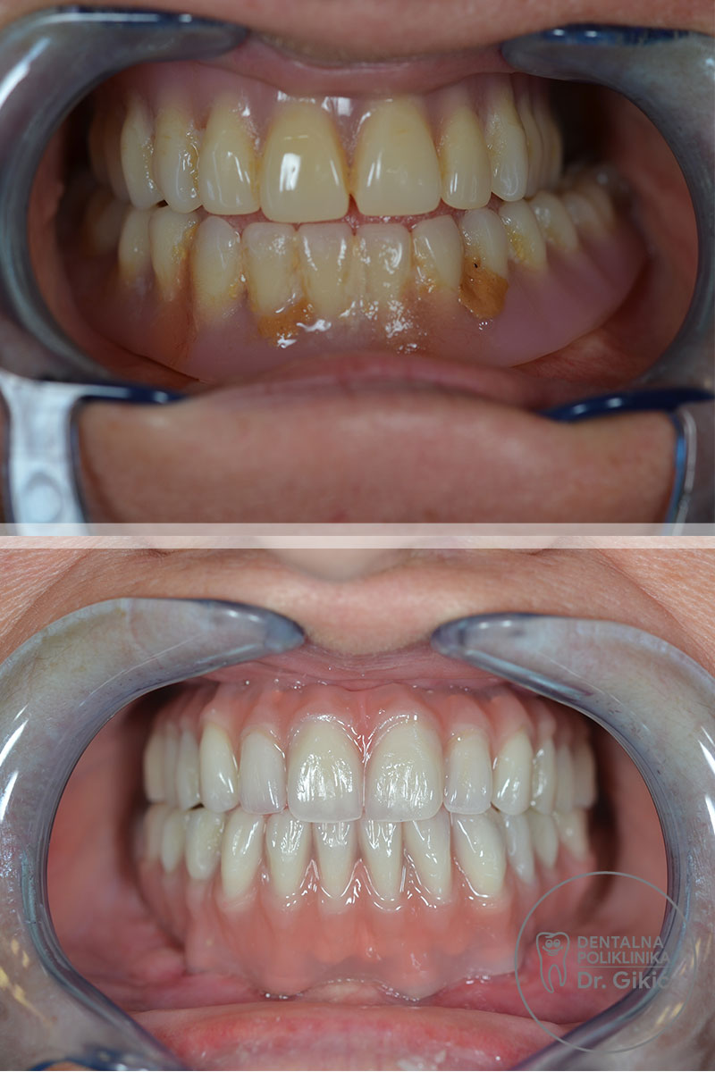
Zahvat koji mijenja život! All on 4 i Pro Arch dva su srodna implanto-protetska koncepta koji bezubim pacijentima omogućavaju osmijeh u roku od 24 sata, a razlikuju se po vrsti implantata:
Koncept podrazumijeva ugradnju 4 zubna implantata i fiksni most, koji se ne vadi iz usta, u jednom danu. To je znanstveno dokazana rehabilitacija cijele čeljusti prilagođena pacijentu, a primjenjuje se već punih 25 godina diljem svijeta. All on 4 je prvi puta izveden 1998. godine. Njegov tvorac je dr. Paulo Malo.
To je siguran i predvidljiv koncept liječenja. Prema posljednjim podacima, 95 % pacijenata zadovoljno je zahvatom. Ovom je metodom stvoreno više od 250 000 novih osmijeha. Bilježe visoku stopu preživljavanja implantata i fiksnih mostova od 98 %.


Prof. Paulo Malo, tvorac tehnike All-on-4.

Kako se izvodi
All on 4 i/ili Pro Arch?
Terapija se izvodi u 2 faze:
- faza – operacija koja podrazumijeva ugradnju implantata i privremeni fiksni most od 10 zuba (most se ne vadi iz usta)
- faza – definitivni rad koji podrazumijeva titansku frezanu konstrukciju i 12 zuba u mostu za jednu čeljust
Između prve i druge faze mora proći 6 mjeseci.




Prednosti – All on 4 i/ili Pro Arch metode:
- nema potrebe za podizanjem sinusa i nadoknadom kosti
- fiksni zubi u roku od 24 sata u jednom posjetu
- primjenjiva metoda kod svih pacijenata
- trajno rješenje
- znatno niža cijena od klasične implantološke terapije
- prirodan izgled zubi i lako održavanje higijene
- brz oporavak i drastično poboljšanje kvalitete života
Tko je kandidat za All on 4 i/ili Pro Arch?
- pacijenti koji nose proteze
- pacijenti koji dugo nose fiksne mostove i trebaju novi fiksni rad
- pacijenti kojima se klimaju zubi zbog parodontopatije
- pacijenti koji ne žele proteze, već fiksni most
- pacijenti kojima je rečeno da ne mogu dobiti fiksni most na implantatima

Danas ne postoji pacijent koji ne može dobiti fiksne zube, barem je tako kod nas u Ozaljskoj 128.



Što nas izdvaja od drugih?
Dr. Matija Gikić educirao se u najprestižnijim centrima i klinikama na svijetu, od Tokija do New Yorka, skupljajući vrijedno znanje od najboljih u struci.
Strogo se pridržavamo protokola. Komplicirani slučajevi naša su svakodnevica. Specijalizirani smo za totalnu rekonstrukciju jedne ili obje čeljusti u jednom danu. Sve kirurške zahvate izvodi specijalist oralne kirurgije.
Izvodimo All on 4 zahvat više od 10 godina tijekom kojih smo skupili bogato iskustvo. Upravo smo po ovoj metodi kao i Zygoma konceptu prepoznati u Hrvatskoj i šire. Napravili smo više od 600 All on 4 operacija.
Naša specijalnost su zahvati koji se izvode kod rizičnih pacijenata (nedostatak kosti, dijabetes, pušenje, osteoporoza). Obraćaju nam se pacijenti koji se u drugim poliklinikama ne smatraju povoljnim kandidatima za operaciju. Najviše liječimo pacijente za koje drugi misle da ne mogu dobiti fiksni most na implantatima (nisu dobri kandidati). Tu spadaju i pacijenti koji su već ranije imali implantate, ali su ih zbog nekog razloga izgubili.
Poliklinika Gikić nudi široki asortiman zahvata za sve slučajeve – od jednostavnih (vađenje zuba, ugradnja implantata..) do najzahtjevnijih (transplantacija kosti, ugradnja zigomatičnih implantata, oralna rehabilitacija kod pacijenata koji nemaju kosti).
Kako do nas
Ozaljska 128, Zagreb, Hrvatska
DOLAZAK TRAMVAJEM
Pedesetak metara hoda dijeli nas od tramvajske stranice ‘Selska’ na koju možete stići linijama 3,9,12. Do okretišta Remiza dijeli nas tek stotinjak metara.
DOLAZAK AUTOBUSOM
Stotinjak metara hoda dijeli nas od autobusne stanice ‘Selska-Ozaljska’ prema Ljubljanici/Remiza, linija 109 Črnomerec/Dugave.
DOLAZAK AUTOMOBILOM – PARKING
Ograničeno besplatno parkiranje na objema stranama Ozaljske ulice, 2 parkirna mjesta za osobe s invaliditetom ispred ulaza u polikliniku.
PARKING U BLIZINI
Učkina ulica – uz prometnicu Ozaljska
Puljska ulica – uz prometnicu Ozaljska
KONTAKTIRAJTE S NAMA